Studio dentistico specializzato in odontostomatologia a Cremona
Grazie alle competenze specialistiche possedute, presso lo studio dentistico Duchi, a Cremona, forniamo un sostegno completo e concreto a chi desidera curare la salute di denti e bocca.
Il nostro studio è specializzato nei seguenti campi:
- odontoiatria conservativa;
- odontoiatria preventiva;
- igiene dentale;
- parodontologia;
- chirurgia orale;
- ortodonzia;
- pedodonzia;
- implantologia;
- protesi fissa e rimovibile;
- endodonzia;
- odontoiatria estetica.
Dentisti da più di 30 anni
Lo studio dentistico Duchi è attivo dal 1986: da oltre 35 anni forniamo servizi di odontoiatria seri e qualificati.
Specialisti della prevenzione
Prevenire è meglio che curare, per questo proponiamo trattamenti preventivi a pazienti di ogni età.
Costante aggiornamento
Il nostro personale medico segue un aggiornamento continuo rispetto alle novità scientifiche e tecniche del settore odontoiatrico.
Servizi di implantologia
Per implantologia s'intende l'insieme di tecniche chirurgiche e protesiche volte a riabilitare funzionalmente un paziente affetto da mancanza totale o parziale dei denti, mediante l'utilizzo di impianti dentali, dispositivi inseriti chirurgicamente nell'osso mandibolare o mascellare, atti a permettere la connessione di protesi, fisse o mobili.
Nel corso degli anni la scelta del nostro studio si è progressivamente orientata sull'uso della metodica implantare a connessione conometrica pura, la quale offre una notevole versatilità d'impiego. Ampliando le possibilità chirurgiche e riducendo il rischio di contatto con strutture vitali, queste soluzioni ci permettono di trattare un maggior numero di pazienti affetti da carenza di osso, garantendo comunque un'elevata osteointegrazione. Inoltre semplificano la parte protesica, data l'assenza di connessioni a vite e l'uso di cementi.
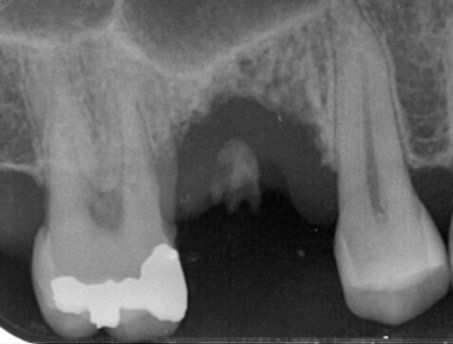
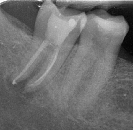
Trattamenti di endodonzia
L'endodonzia è quella branca dell'odontoiatria che si occupa della terapia dello spazio all'interno del dente che contiene la polpa dentaria, costituita da cellule, vasi e nervi. La terapia endodontica è indispensabile quando una lesione cariosa o traumatica al dente abbia determinato un'alterazione non reversibile del tessuto pulpare.
Presso lo studio Duchi, impieghiamo due tecniche endodontiche: la terapia ortograda, quando è possibile operare attraverso il dente lungo i canali radicolari (terapia canalare o devitalizzazione) e la terapia retrograda, più comunemente indicata come endodonzia chirurgica (apicectomia), per i casi in cui non è possibile passare lungo i canali radicolari, per la presenza di ostacoli di varia natura.
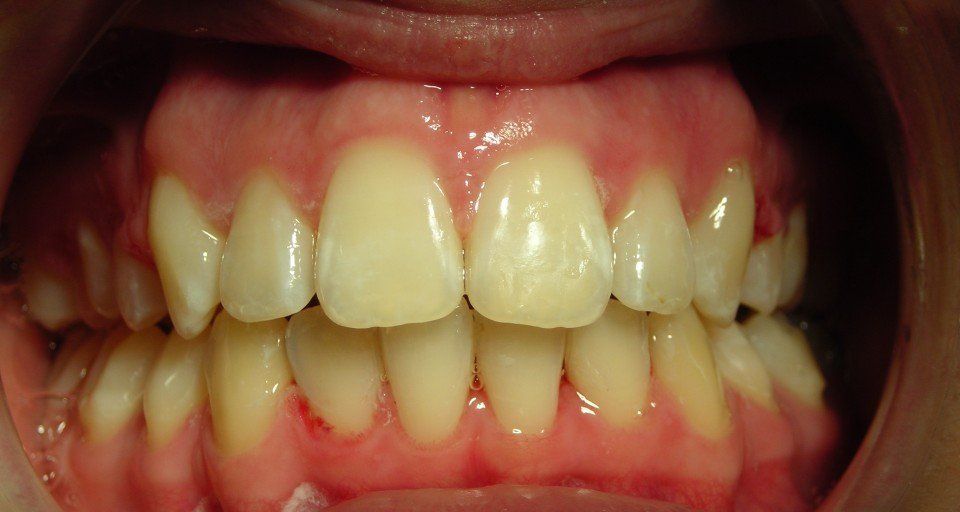
prima e dopo...
Terapie di odontoiatria conservativa
L'odontoiatria conservativa è la branca dell'odontoiatria restaurativa che si occupa delle procedure terapeutiche dei denti interessati da processi cariosi tramite l'utilizzo di appositi materiali.
Presso lo studio dentistico Duchi ci basiamo sul concetto di minima invasività, con la rimozione del solo tessuto cariato e la sua sostituzione con un materiale da restauro, che viene legato direttamente al tessuto sano. Abbiamo abbandonato l'uso dell'amalgama d'argento a favore dei materiali compositi.
Date le caratteristiche di tali materiali, utilizziamo l'isolamento del campo operatorio tramite la diga di gomma, strumento indispensabile per le tecniche adesive che non tollerano la presenza della saliva. La diga è un sottile foglio di gomma in cui i denti vengono fatti passare attraverso dei fori, stabilizzato da uno o più uncini e da eventuali legature con filo interdentale. Al di fuori del cavo orale, la diga è sostenuta da un arco metallico o plastico che la tiene tesa.
Servizi di ortodonzia
L'ortodonzia si occupa dello studio e della correzione della posizione anomala dei denti, delle malformazioni delle ossa mascellari e delle ricadute che queste hanno sull'aspetto del viso e sulle funzioni quali respirazione, masticazione e fonazione.
Nel nostro studio impieghiamo terapie ortodontiche sia chirurgiche che meccaniche, utilizzando apparecchi rimovibili, costruiti su misura secondo varie metodiche, oppure fissi, applicati sui denti.
Dentisti esperti in pedodonzia
La pedodonzia è l'applicazione delle conoscenze di base dell'odontoiatria, sia mediche che comportamentali, allo sviluppo normale o patologico del bambino, dalla nascita alla pubertà.
Nel nostro studio offriamo servizi specialistici per la prevenzione e la cura della carie dei denti decidui e permanenti, attraverso la pratica endodontica, la prevenzione ortodontica, il riconoscimento e la correzione precoce delle abitudini nocive e la traumatologia dentale.
Trattamenti di parodontologia
La parodontologia è la branca dell'odontoiatria che si occupa dell'insieme dei tessuti molli (il legamento parodontale e la gengiva) e duri (cemento e tessuto osseo alveolare) che circondano il dente e che assicurano la sua stabilità nell'arcata alveolare. Cura le malattie che interessano il parodonto, chiamate genericamente malattie parodontali o parodontopatie: sono le parodontiti e le gengiviti.
Nel nostro studio abbiamo a cuore la prevenzione delle patologie oro-dentali e la nostra specialista igienista promuove la salute orale dei pazienti al fine di migliorarne anche la salute sistemica, nonché l'estetica e l'autostima. La parodontologia riveste un ruolo importante nella terapia non chirurgica di mantenimento dei pazienti con malattia parodontale.
Realizzazione di protesi dentarie
Presso lo studio dentistico Duchi, a Cremona, ci occupiamo della progettazione e costruzione di protesi rispettando requisiti di funzionalità, resistenza, innocuità ed estetica. Applichiamo protesi sia fisse (su denti naturali o loro radici, o su impianti) che rimovibili (con o senza elementi di appoggio naturali o artificiali), impiegando i materiali più idonei sia per estetica che per resistenza ai carichi masticatori.
Interventi di chirurgia orale
La chirurgia orale include tutte le manovre inerenti ai denti e ai tessuti orali, includendo l'implantologia e la parodontologia. Preceduta dall'indagine radiologica, comprende lo studio anatomico, l'anestesia locale, la preparazione del campo operatorio, gli accessi chirurgici, le tecniche di sutura e la guarigione dei tessuti.
Nel nostro studio ci occupiamo di estrazioni dentarie semplici e complesse, avulsione di elementi inclusi, germectomie, trattamento delle anomalie di eruzione, periodontiti apicali, neoformazioni cistiche e biopsie ai fini di valutazione istopatologica.







